Sage’s Newsletter
Subscribe
Sign in
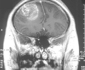
Pandemic of the Glioblastomas?
Nov 7, 2023
200
246
21
This thread is only visible to paid subscribers of Sage’s Newsletter
Subscribe to view →
Comments on this post are for paid subscribers
Subscribe
Already a paid subscriber?
Sign in
This site requires JavaScript to run correctly. Please
turn on JavaScript
or unblock scripts
Pandemic of the Glioblastomas?
This thread is only visible to paid subscribers of Sage’s Newsletter
Comments on this post are for paid subscribers